POPULAR
Nguyên nhân và biểu hiện bệnh hồng ban đa dạng
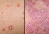
Hồng ban đa dạng là một bệnh da cấp tính do nhiều căn nguyên khác nhau gây nên
Biểu hiện trên da là các thương...
Ngộ độc thuốc trừ sâu phospho hữu cơ
* Nguyên nhân gây ngộ độc:
ngộ độc qua đường hô hấp: hít vào do cháy kho. Hoặc cháy phương tiện vận tải
ngộ...
MUST READ
loét sinh dục và các dấu hiệu nhận biết loét sinh dục
Loét sinh dục là tình trạng lớp biểu mô của da hoặc niêm mạc sinh dục.
Nhiều bệnh lây truyền qua đường tình dục gây...
triệu chứng và các biến chứng của bệnh tiểu đường
TRIỆU CHỨNG BỆNH TIỂU ĐƯỜNG
Bệnh tiểu đường nhìn chung biểu hiện qua một số dấu hiệu như: thường xuyên khát nước, đi tiểu nhiều,...
Axit Alpha-Linolenic đặc tính bảo vệ thần kinh, chống đột quỵ
Khái niệm
Axit alpha-linolenic là một Acid béo Omega 3 thiết yếu có nguồn gốc từ thực vật. Đây là một Acid béo không bão...
Thực Phẩm
NHỮNG NGUY CƠ MẮC CÚM CHO DÂN SỐ TOÀN CẦU VÀ NHÂN VIÊN Y...
Con người có nguy cơ bị mắc cúm bất cứ khi nào nếu tiếp xúc với các loài chim mà có vi-rút cúm gia...
Tebexerol Immunoxel – lựa chọn mới giúp tăng cường miễn dịch cho cả gia...
Tebexerol Immunoxel được biết đến khá phổ biến với công dụng tăng cường đề kháng, bổ sung dinh dưỡng cho người suy giảm hệ...
Scopolamin
Scopolamin
Nguồn gốc
Là alcaloid trong một số cây họ Cà.
Tác dụng
Scopolamin có 2 tác dụng chính:
Trên thần kinh thực vật: scopolamin có tác...
FITNESS
Một số thông số dược động học
Diện tích dưới đường cong
Diện tích dưới đường cong (biểu diễn sự biến thiên của...
Thuốc Betaloc ZOK 50mg có tác dụng gì, giá bao nhiêu, mua ở đâu?
Thuốc Betaloc ZOK 25mg là thuốc gì?
Nhà sản xuất
AstraZeneca A.B - Thụy Điển.
Quy cách đóng...
Điện phân, cân bằng dịch thể, dinh dưỡng, hóa trị liệu, phẫu thuật nội tiết và X quang. Một số phẫu thuật khác
Điện phân, cân bằng dịch thể, dinh dưỡng, hóa trị liệu, phẫu thuật nội tiết...
Chăm sóc da
CHĂM SÓC DA HÀNG NGÀY
Mục đích của chăm sóc da hàng ngày là kiểm soát...
NHỮNG NGUY CƠ MẮC CÚM CHO DÂN SỐ TOÀN CẦU VÀ NHÂN VIÊN Y TẾ
Con người có nguy cơ bị mắc cúm bất cứ khi nào nếu tiếp xúc...
Sức Khỏe
CAO BỔ PHỔI
CAO BỔ PHỔI
Công năng, chủ trị
Cao bổ phổi có công năng: Nhuận phế, chỉ khái. Chủ trị: Các chứng ho gió, ho lâu ngày, rát...
SCIENCE
RỐI LOẠN CƠ BẢN Ở VI TUẦN HOÀN. RỐI LOẠN Ở...
RỐI LOẠN TRONG MẠCH:
Rối loạn lưu biến:
+Kết tụ (aggregation) tế bào máu:Kết tụ hồng cầu do cơ chế giảm điện tích âm trên bề...
LATEST POSTS
Thuốc kích thích gián tiếp hệ adrenergic: Ephedrin và Amphetamin
Thuốc kích thích gián tiếp hệ adrenergic
Ephedrin
Nguồn gốc
Tự nhiên: ephedrin là alcaloid của cây Ma hoàng, dạng đồng phân tả tuyền.
Tổng hợp:...
Căn nguyên gây trứng cá
Mụn trứng cá
THÔNG TIN CHUNG
Trứng cá (acne) là bệnh da thông thường gây nên do tăng tiết chất bã và viêm của hệ thống...
Thuốc gây tê
Hấp thu của thuốc gây tê
Thuốc gây tê thường được dùng theo đường tiêm hoặc bôi trực tiếp vào nơi cần phong bế thần kinh. Quá...
![[Review] Cao Dây thìa canh chuẩn hoá Mamigo dành cho người tiểu đường có tốt không? Có nên mua không? Cao Dây thìa canh chuẩn hoá Mamigo dành cho người tiểu đường](https://daihocduochanoi.com/wp-content/uploads/2022/03/cao-day-thia-canh-chuan-hoa-mamigo-218x150.jpg)





![[REVIEW] 5 lý do người bệnh gan nên sử dụng CAO VỊ CAN Thực phẩm chức năng Cao Vị Can](https://daihocduochanoi.com/wp-content/uploads/2022/11/Thuc-pham-chuc-nang-Cao-Vi-Can-218x150.jpg)



![[VẠCH TRẦN] Sữa non Babego có tốt không? Sự thật ít ai chia sẻ? Cơ chế tác động của sữa non Babego](https://daihocduochanoi.com/wp-content/uploads/2022/12/6-1-218x150.jpg)












































